裏側矯正|沖縄県浦添市の矯正歯科
Lingual Orthodontics
裏側矯正

「矯正装置が見えない」
特許技術を用いた審美性の高い矯正治療
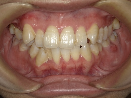
歯科矯正治療を受けていることに気づかれたくない方や、矯正装置が目立つことに心理的抵抗を感じる方が多いようです。特に日本人にはその傾向が強く、矯正装置が目立つことが歯科矯正に対するネガティブなイメージを生むことがあります。
最近では、透明なブラケットや透明なマウスピースを用いた矯正治療など、目立ちにくい治療法が広まっています。しかし、ワイヤーを装着する治療の場合、ワイヤー自体は従来通りのものが使用されるため、どうしても目立ってしまいます。また、マウスピースによる矯正は、患者様の自主的な努力が必要であり、必ずしも求める治療結果が得られるとは限りません。

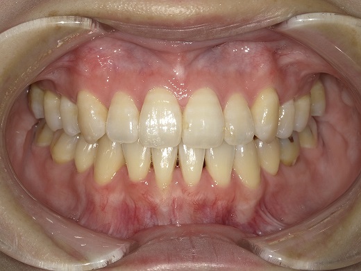
裏側・舌側矯正(リンガル矯正)は、歯の裏側に矯正装置を装着する方法で、正面から矯正装置が見えないため、審美性が高い治療法です。しかし、この治療法は表側矯正に比べて難易度が高く、使用するワイヤーの長さが短くなるため、ボーイングエフェクト(歯が内側に倒れ込む現象)が起こりやすくなります。この現象を防ぐためには、確かな知識と熟練した技術・経験が必要です。また、スタンダードエッジワイズ法によるワイヤーベンディングが不可欠です。
-
一般的なクリニック
既製のアーチワイヤー
(ストレートワイヤー法) -
当クリニック
オーダーメイドのアーチワイヤー
(スタンダードエッジワイズ法)
さらに、現在一般的に使用されている硬いステンレス製のワイヤーでは、ボーイングエフェクトのリスクが高まります。しかし、当クリニックでは、柔軟性のあるフレキシブルワイヤーを使用し、スタンダードエッジワイズ法をベースとした特許技術により、ボーイングエフェクト現象の発生リスクを最小限に抑えた裏側矯正治療を行っています。
当クリニックの裏側矯正は
このような方におすすめです
-

矯正器具が
見えてほしくない -

できるだけ費用を抑えて
裏側矯正をしたい -

実績が豊富な医院に
まかせたい

Strong Points
歯ならび矯正クリニックの強み
-
Point 01

矯正装置が目立たないので
見た目が自然裏側矯正は、見た目を気にせずに理想の歯並びを目指せる画期的な治療法です。最新技術を駆使したオーダーメイドの治療で、歯の裏側に矯正装置を取り付け、外からはほとんど目立ちません。痛みや不快感を最小限に抑え、快適に治療を進めることができます。美しい笑顔を人目を気にせず手に入れられる、あなたにぴったりの矯正治療を提供します。
-
Point 02

安心の価格で通いやすく、
デンタルローンの利用も可能矯正治療を始める際、価格は重要なポイントです。当院では、明確で安心できる価格設定を提供しています。また、アプラス デンタルローンもご利用いただけます。患者様一人ひとりのニーズに合わせたプランをご提案し、無理なく治療を進めていただけるようサポートします。治療内容や期間に応じて柔軟に対応し、あなたの理想の歯並びを実現するために、費用面でも安心していただけるよう配慮しています。
-
Point 03

実績と信頼のある医師が
あなたに最適な治療をご提案当院は、20年以上の実績を誇る矯正専門クリニックとして、常に最新の技術を取り入れています。患者様一人ひとりのニーズに合わせたオーダーメイド治療を提供し、理想の歯並びを実現します。痛みを最小限に抑え、快適な治療を進めることができるよう、最新技術でサポート。あなたの笑顔がさらに輝くために、私たちは最善を尽くします。安心してお任せください。
Cases
症例紹介
あなたもきっと変われる。
実例が示す矯正の可能性。
Price
矯正料金
当院では、治療開始前に治療費と目標治療期間を確認していただき、
ご契約をいただいております。
治療費は、各患者様のお口の状況や治療方法によって異なります。

| 表側矯正 | 裏側矯正 | お試し矯正 | 子どもの矯正 |
|---|---|---|---|
|
275,000円~ 605,000円 (税込) |
495,000円~ 935,000円 (税込) |
11,000円~ 110,000円 (税込) |
33,000円~ 165,000円 (税込) |
Flow
矯正治療の流れ
-
Step 01

初診相談
初診相談は無料で行っております。お悩みや気になること等まずは気軽にご相談ください。
-
Step 02

初診検査
初診検査を行って患者様の現在の状態を確認させて頂きます。
-
Step 03

診断・治療方針の決定
ヒアリングと初診検査の結果をもとに診断を行い、治療方針を決定していきます。
-
Step 04

矯正治療開始
矯正装置を装着して治療を開始していきます。
-
Step 05

保定
きれいに並んだ歯を固定・安定させるための保定期間に入ります。
-
Step 06

治療完了
治療完了後もホワイトニングや定期健診で綺麗に並んだ歯を大切にしてください。
Faq
よくある質問
治療全般について
-
矯正治療は痛いですか?
痛みは完全にないわけではありません。歯を動かすために外力を加えるため、痛みの度合いは個人差がありますが、多少の痛みは避けられません。ただし、当クリニックでは、柔軟性の高いフレキシブルワイヤーを使用し、特許技術により患者様の痛みを最小限に抑えた治療を行っています。
特許技術について詳しく見る
-
矯正治療をすると違和感はありますか?
はい、違和感はあります。ワイヤーなどの装置をお口に装着するため、多少の違和感は感じることがあります。治療方法(表側矯正・裏側矯正)によっても異なりますが、違和感を最小限にするよう配慮しています。また、シンプルな矯正治療を心掛けています。
-
矯正治療を他の人に知られたくないのですが?
当クリニックでは、目立たない裏側矯正(リンガル矯正)を提供しています。歯の裏側に装置を装着するため、周囲に気づかれずに矯正治療を行うことができます。
裏側矯正について詳しく見る
-
矯正治療をしようか悩んでいます。
まずはお気軽にご相談ください。【相談無料】(診断・検査が必要な場合は費用が発生します)
歯並びが悪いことは病気ではなく、個性です。診断の結果を踏まえ、患者様が納得された上で治療を始めることが大切ですので、ご安心ください。
-
歯を抜かないと治療できませんか?
すべてのケースで抜歯が必要なわけではありませんが、日本人の方は抜歯が必要なケースが比較的多いです。治療開始前にお口の状態を診断し、患者様の求める治療方法を一緒に考えていきます。
治療に関する注意点について詳しく見る
-
虫歯や口内炎ができやすいってホント?
矯正装置を装着している間、毎日の歯磨きが重要です。ブラッシングが不十分だと虫歯になるリスクが高くなります。また、装置が当たる部分には口内炎ができることがあります。口内炎ができた場合、提供しているワックス(ロウ)を装置に貼り付けたり、綿を挟んだりすると、痛みを軽減できます。
矯正治療中のケアについて詳しく見る
-
子供の歯並びが良くないと言われました。すぐ直した方がいいですか?いつ頃から始めた方がいいですか?
お気軽にご相談ください。【相談無料】(診断・検査が必要な場合は費用が発生します)
お子様の歯並びは成長とともに変化するため、急いで治療を始める必要はないと考えています。ただし、お子様が矯正を希望している場合や、早期治療が必要な場合には、適切なタイミングで治療を進めることが大切です。
-
保険適用はできますか?
A.基本的には自費診療となり、保険は適用されません。ただし、特殊なケースで保険が適用されることもあります。
保険について詳しくはこちら
-
矯正をしても元に戻ってしまうこともありますか?
矯正治療が完了した後、歯を安定させるために保定期間に入ります。この期間中は定期的に通院し、保定装置を使用します。保定を怠ると、歯並びが戻ることがありますので、しっかりとしたケアが重要です。もし後戻りを感じた場合は、お気軽にご相談ください。
-
通院はどれくらいしますか?
治療期間は患者様のお口の状態や治療方針により異なりますが、一般的には1年~3年ほどです。矯正装置を装着後は、1ヶ月に1~2回の通院が必要です。
矯正治療の流れについて詳しく見る
-
他の歯科クリニックでの治療法に納得がいかないので相談したいのですが?
ご相談は無料でお受けしております。もちろんセカンドオピニオンも無料です。
患者様にとって最適な治療方法や治療結果を一緒に考えていきましょう!
【相談無料】(診断・検査が必要な場合は費用が発生します)
お試し矯正について
-
すきっ歯はお試し矯正で治療可能ですか?
はい、治療可能です。
-
子供もお試し矯正は可能ですか?
はい、治療可能です。ただし、乳歯が残っているお子さまの場合、永久歯が生えそろうタイミングで歯が安定することもありますので、成長予測を立てたうえで治療計画を立てることをお勧めします。
-
ゴボ口はお試し矯正で治療できますか?
ゴボ口(上顎前突)は、全体矯正がより適していることが多いです。
-
出っ歯はお試し矯正で治療可能ですか?
治療は可能ですが、口元の前突感が残る場合があります。特に上顎前突の場合、二次治療が必要となることが多いため、治療計画に二次治療を含めた提案を行うことがあります(その場合、通常の検査が必要です)。
-
受け口はお試し矯正で治療可能ですか?
お子さまの前歯部の軽度の反対咬合(受け口)は治療可能ですが、一般的な反対咬合には全体矯正が適しています。
-
開咬はお試し矯正で治療可能ですか?
開咬の症例によってはお試し矯正が可能ですが、個々の症例によって異なりますので、詳細についてはご相談ください。
-
検査料金が2種類あるのはなぜですか?
部分矯正のみで治療可能な場合は検査料が11,000円です。二次治療(抜歯が必要など)が必要な場合は33,000円の通常検査が必要となります。無料相談時に、どちらの検査が必要かお伝えしますので、納得された上で検査を進めていただけます。
-
お試し矯正の料金の違いは何ですか?
料金の違いは、アプローチする歯の本数と治療期間によって異なります。
-
舌側矯正やアライナー矯正でもお試し矯正は可能ですか?
はい、可能です。ただし、技工所への依頼が必要となるため、お試し矯正の料金に加え、別途技工料が発生することがあります。
-
支払い方法はどのようなものがありますか?
支払い方法としては、現金、銀行振込、デンタルローン(条件あり)、各種クレジットカード、EDY払いがご利用いただけます。詳細については、受付にてご相談ください。