初めての方へ|歯ならび矯正クリニックの矯正治療について
For Beginner
初めての方へ



の
矯正治療を行っています
現在主流となっている「ストレートワイヤー法」は、既製のアーチワイヤーを装着する方法ですが、当クリニックでは「スタンダードエッジワイズ法」を駆使した歯科矯正治療を行っています。
スタンダードエッジワイズ法は、患者様一人ひとりの歯列に合わせて、歯科医師が手作業でワイヤーを丁寧にベンディング(曲げる)し、歯の凹凸にぴったりとフィットするようにアーチワイヤーをオーダーメイドします。複雑なループなどを設けることで、効率的かつ効果的な歯牙移動が実現できる治療法です。
しかし、この方法はベンディングに時間がかかり、患者様一人ひとりの治療時間が長くなることがあります。また、治療結果は歯科医師の技術力に大きく依存するため、難易度の高い治療法でもあります。
ストレートワイヤー法は、1960年にスタンダードエッジワイズ法を発展させて誕生しました。術者である歯科医師の作業時間を大幅に短縮でき、治療の難易度を下げた(と錯覚させた)ため、一気に普及しました。
確かに、スタンダードエッジワイズ法はストレートワイヤー法よりも以前から存在し、一般的には「進化前の治療法」と捉えられがちです。しかし、ストレートワイヤー法が歯科矯正治療の「最終進化形」ではなかったことは、実際には多くの弊害が存在し、患者様に十分な治療結果を提供できていないという事実があるのです。
当クリニックの院長、嘉数は、手間がかかるとされるスタンダードエッジワイズ法を採用することで、特許技術に基づく治療法を確立しました。患者様一人ひとりとしっかりと向き合い、温故知新の精神を大切にしながら、より負担の少ない治療法の確立を目指しております。
当クリニックの矯正治療は
このような方におすすめです
-

見えない矯正
(裏側矯正)をしたい -

できるだけ費用を抑えて
矯正治療をしたい -

実績が豊富な医院に
まかせたい
Strong Points
歯ならび矯正クリニックの強み
-
Point 01

安心の価格で通いやすく、
デンタルローンの利用も可能矯正治療を始める際、価格は重要なポイントです。当院では、明確で安心できる価格設定を提供しています。また、アプラス デンタルローンもご利用いただけます。患者様一人ひとりのニーズに合わせたプランをご提案し、無理なく治療を進めていただけるようサポートします。治療内容や期間に応じて柔軟に対応し、あなたの理想の歯並びを実現するために、費用面でも安心していただけるよう配慮しています。
詳しく見る
-
Point 02

裏側矯正も実績豊富。
快適に美しい歯ならびを実現裏側矯正は、裏側・舌側矯正(リンガル矯正)は従来のような歯の表側ではなく、歯の裏側に矯正装置を装着する方法で、正面から矯正装置を装着していることが見えない審美性の高い治療法です。表側矯正に比べてかなり難易度の高い治療方法ですが、矯正専門20年以上の実績を持つ当院に安心してお任せください。最新技術を駆使したオーダーメイドの治療で、あなたにぴったりの矯正治療をご提供します。
詳しく見る
-
Point 03

実績と信頼のある医師が
あなたに最適な治療をご提案当院は、20年以上の実績を誇る矯正専門クリニックとして、常に最新の技術を取り入れています。患者様一人ひとりのニーズに合わせたオーダーメイド治療を提供し、理想の歯並びを実現します。痛みを最小限に抑え、快適な治療を進めることができるよう、最新技術でサポート。あなたの笑顔がさらに輝くために、私たちは最善を尽くします。安心してお任せください。
詳しく見る

特許技術「KR Spring」を使用した矯正治療「KR Dontics」

効率性を重視する現代社会において、ステンレス製ワイヤーを用いた「ストレートワイヤー法」は矯正臨床で主流となっています。しかし、ステンレスワイヤーのような硬いワイヤーを使用する矯正治療では、過度な矯正力が発生し、患者さまに痛みを伴うことがあります。

さらに、使用するワイヤーの長さが短いほど矯正力が強くなるため、裏側矯正(舌側矯正)の「ボーイングエフェクト」という問題が避けられません。この現象は、裏側矯正のワイヤーが表側矯正よりも短くなるため、過度な強さで矯正力がかかり、前歯が内側に倒れこむことによって生じます。ボーイングエフェクトが発生すると、治療期間が長引いたり、見た目の仕上がりが悪くなることがあります。
当院では、長年にわたり「痛みの軽減」と「裏側矯正の確立」を目指して研究を重ねてきました。
その結果、これらの問題を軽減するための新しいワイヤーを開発することに成功しました。

KR Spring
特許取得済・
弾性高分子ワイヤーの加工技術
本製品は、特に裏側矯正時に使用する「マッシュルームアーチ」を再現したもので、口腔内の形状にフィットする作りとなっています。柔軟性の高いフレキシブルワイヤーを使用し、多重ループスプリング部を設けることにより、アーチワイヤー全体を既存の物よりも長く使用することが可能となりました。
また、多重ループスプリングによるバネ効果が発生し、適度な矯正力(弱い持続的な力)を加えることができます。これらにより、以下のメリットを生み出しました。
-
Advanteges 01
治療中の痛みを
軽減できる -
Advanteges 02
「ボーイングエフェクト」
の発生リスクを軽減 -
Advanteges 03
金属アレルギーを持つ
患者にも施術が可能
詳しく見る

Gummetal
フレキシブルワイヤー
「ゴムメタル」
「ゴムメタル」は、金属の高強度を保持しつつ、ゴムのように柔軟でしなやかな性質を持つβ系チタン合金です。この合金は、一般的なチタン合金よりも有害な物質を含まず、人体にも優しい特性があります(当製品は歯列矯正用ワイヤーとして医療認可済み)。当院では、JM ORTHO社の「GUMMETAL」のストレートタイプを使用しています。
詳しくはこちら
詳しく見る

KR Dontics
特許技術『KR Spring』を
使用した矯正治療法
特許技術「KR Spring」を使用した矯正治療「KR Dontics」は1989年発刊の「プロフィトの現代歯科矯正学」にも記載のある治療法を実現させるべく生まれた矯正治療法です。
加工技術が難しいとされ、一部の治療でのみ使用されているフレキシブルワイヤーを、温故知新、原点である「スタンダードエッジワイズ法」を用いて患者様一人一人のお口の状況・状態に合うようにワイヤーを曲げて制作するため、表側矯正はもちろん、裏側矯正でも非常に有効な治療法となりました。
詳しく見る
Cases
症例紹介
あなたもきっと変われる。
実例が示す矯正の可能性。
-
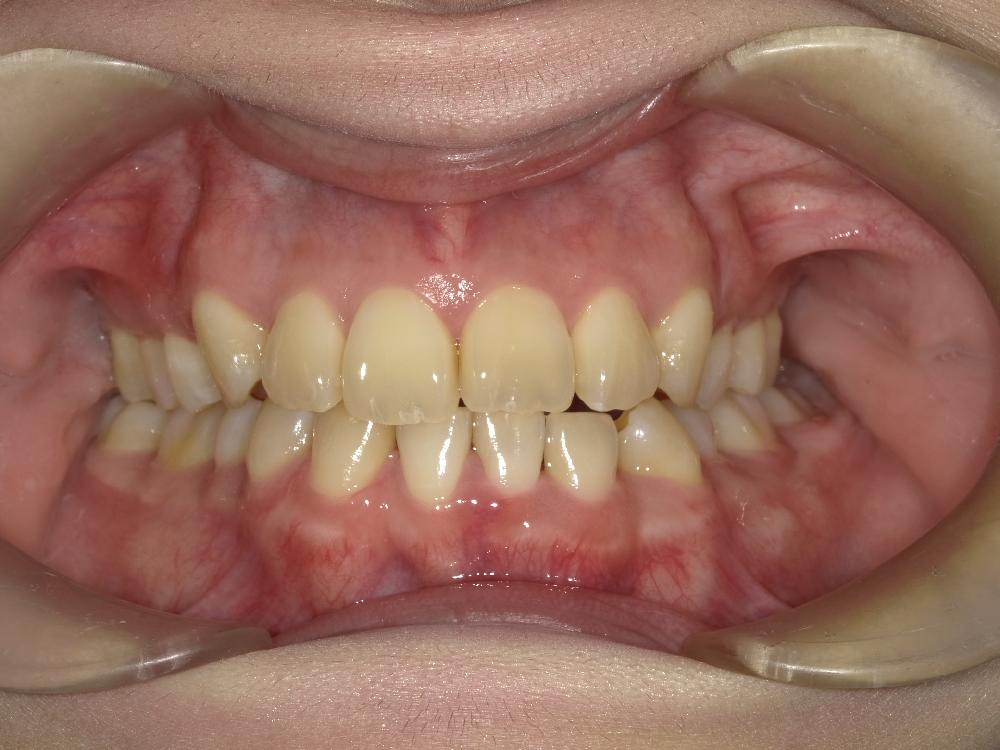
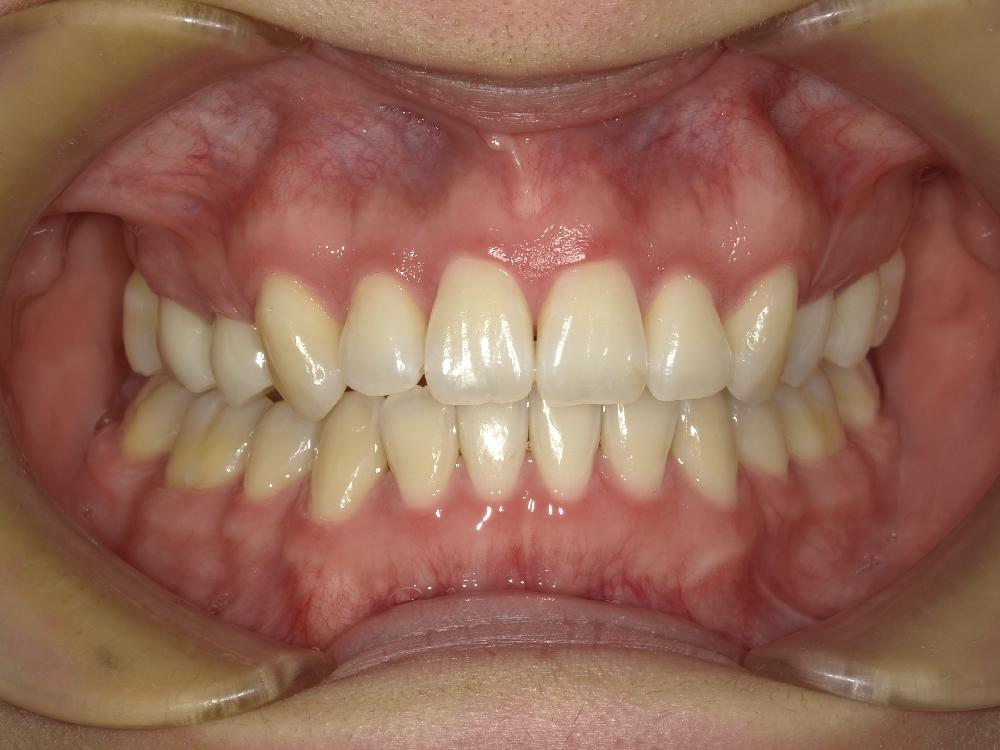
裏側矯正 30代 女性
上側裏側矯正
Before
After
治療費825,000円(税込)
-
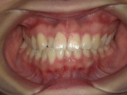
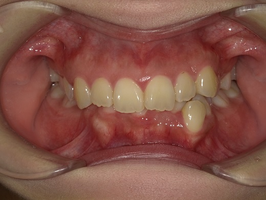
裏側矯正 30代 女性
上側裏側矯正
Before
After
治療費825,000円(税込)
-
裏側矯正 30代 女性
上下裏側矯正
Before
After
治療費935,000円(税込)
-
裏側矯正 30代 女性
上側裏側矯正
Before
After
治療費825,000円(税込)
-
裏側矯正 20代 女性
上側裏側矯正
Before
After
治療費825,000円(税込)
-
裏側矯正 20代 女性
上下裏側矯正
Before
After
治療費935,000円(税込)
-
お試し矯正 10代 女性
お試し矯正
Before
After
治療費110,000円(税込)
-
裏側矯正 20代 女性
上下裏側矯正(不正咬合)
Before
After
治療費935,000円(税込)
-
表側矯正 20代 女性
上下表側矯正(不正咬合)
Before
After
治療費605,000円(税込)
-
表側矯正 20代 男性
上下表側矯正(開咬症)
Before
After
治療費605,000円(税込)
-
表側矯正 20代 男性
上下表側矯正(上顎前突)
Before
After
治療費605,000円(税込)
-
裏側矯正 20代 女性
上側裏側矯正(深悪咬合)
Before
After
治療費825,000円(税込)
Price
矯正料金
当院では、治療開始前に治療費と目標治療期間を確認していただき、
ご契約をいただいております。
治療費は、各患者様のお口の状況や治療方法によって異なります。

| 表側矯正 | 裏側矯正 | お試し矯正 | 子どもの矯正 |
|---|---|---|---|
|
275,000円~ 605,000円 (税込) |
495,000円~ 935,000円 (税込) |
11,000円~ 110,000円 (税込) |
33,000円~ 165,000円 (税込) |
Flow
矯正治療の流れ
-
Step 01

初診相談
初診相談は無料で行っております。お悩みや気になること等まずは気軽にご相談ください。
-
Step 02

初診検査
初診検査を行って患者様の現在の状態を確認させて頂きます。
-
Step 03

診断・治療方針の決定
ヒアリングと初診検査の結果をもとに診断を行い、治療方針を決定していきます。
-
Step 04

矯正治療開始
矯正装置を装着して治療を開始していきます。
-
Step 05

保定
きれいに並んだ歯を固定・安定させるための保定期間に入ります。
-
Step 06

治療完了
治療完了後もホワイトニングや定期健診で綺麗に並んだ歯を大切にしてください。
Attention
矯正治療にあたっての
ご注意・お願い
食べ物・食べ方の注意点
矯正治療中は、食べ物や食べ方に注意が必要です。特に、前歯で噛み千切るのは避け、なるべく一口ずつ食べやすい大きさに切り、奥歯で噛んでください。また、固いものや歯にくっつきやすい食べ物は装置の破損や脱離を招く原因となりますので、できるだけ避けましょう。食後は、装置に食べかすが残りやすくなるため、すぐに歯磨きをしましょう。

特に注意する食べ物
-
粘着性があり、
装置の周りにくっつきやすいもの
キャラメル・チョコレート・ガム…など
-
かけらが装置の隙間に
残りやすいもの
ナッツ類・ポテトチップス・
せんべい…など -
固くて装置やワイヤーを変形、
破損、脱離させてしまうもの
ナッツ類・せんべい・氷・あめ玉・梅干しの種・スルメ…など
保定装置(リテーナー)の使用方法
矯正治療後は、歯並びが安定するまで保定装置(リテーナー)を使用します。使用方法は治療内容によって異なりますが、以下の点に注意してください。
上顎:取外し可能なマウスピース
下顎:固定されたワイヤー(取外し不可)

-
Attachment

装着方法
手でゆっくり装着してください。噛んで装着すると破損する可能性があります。
-
Usage

使用時間
1日12時間以上の装着を守りましょう。
飲食時は外し、特にお茶やコーヒーは色が着いたり、熱い飲み物は変形の原因となるため注意が必要です。 -
Cleaning

洗浄方法
お湯で洗うと変形することがあるため、避けましょう。やわらかい歯ブラシと中性洗剤(食器用洗剤)で洗ってください。
歯磨き粉は使用しないでください。研磨剤がリテーナーを傷つけ、細菌が繁殖する原因になります。 -
Carry

保管方法
リテーナーを外したら、水気や湿気をふき取ってケースに入れ、保管してください。もしケースを紛失した場合は、代わりに他のケースを使うか、ハンカチなどで包んで持ち運んでください。ポケットなどに直接入れないようにご注意ください。
※ティッシュに包むとゴミと間違えて捨てられることが多いため、十分に注意しましょう。
-
Trouble

使用中のトラブル
痛みが出た場合や破損した場合は、すぐにご連絡ください。
また、リテーナーを紛失した場合、再作成に費用(8,800円税込)が発生しますので、大切に保管してください。また、かかりつけの歯科で治療を受けた場合は、必ずリテーナーの調整が必要かもしれませんので、事前にご連絡をお願いいたします。
抜歯について
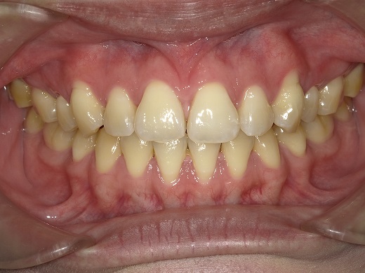
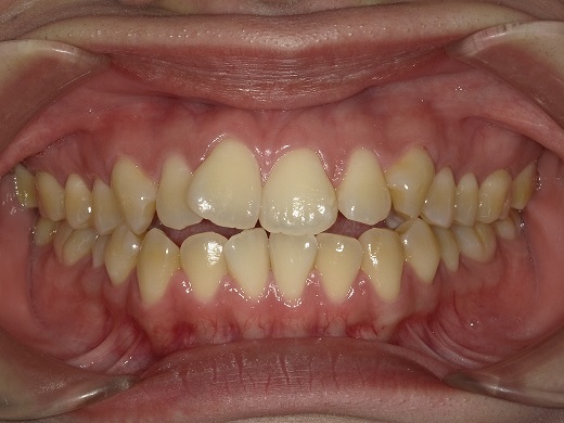
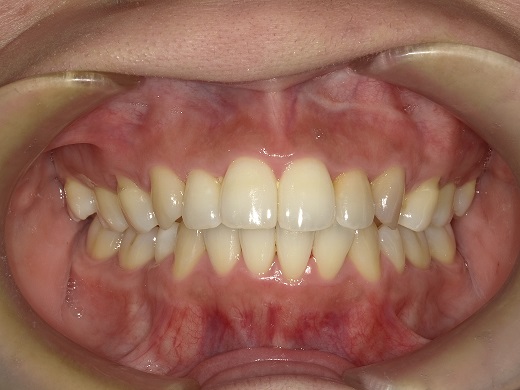
最近、根拠のない「非抜歯矯正」が注目されていますが、すべてのケースで非抜歯の治療ができるわけではありません。特に日本人の顎は外国人に比べて小さいことが多く、歯並びを整えるために抜歯が必要な場合があります。抜歯を行うことで、一時的に大きな隙間ができますが、治療が進むとこの隙間はなくなり、歯並びがきれいに整います。逆に、無理に非抜歯で治療を進めると、想定外のトラブルが生じ、満足な結果が得られないことがあります。
当クリニックでは抜歯は行っておりません。抜歯が必要な場合は、提携する他のクリニックにて行っていただきます。

Before




After




ご協力のお願い
-
キャンセルや遅刻について
無断キャンセルや当日キャンセル、遅刻は他の患者様にご迷惑をおかけします。
予約時間に遅れた場合、診療時間が変更になることがありますので、必ず時間通りにお越しください。 -
予約診療について
当院は予約制となっておりますので、診療の順番が前後することがあります。予めご了承ください。
皆さまが快適にご利用できる様、ご協力よろしくお願いします。
Risk
矯正歯科治療の主なリスク・副作用

矯正治療は、個々の歯の移動速度や体質、来院頻度などにより、治療期間や過程が異なります。以下に記載するリスクや副作用について十分にご理解いただいたうえで、治療を開始してください。

-
- Risk-01
矯正装置装着後の歯の痛みと発音
治療開始後、1日から最大1週間程度、歯が痛むことがあります(疼き、歯痛、冷水痛など)。また、装置に慣れるまで発音がしづらくなる場合もあります。ワイヤー交換後に痛みが生じることもありますが、通常は数日以内におさまります。
- Risk-01
-
- Risk-02
口内炎と潰瘍
矯正治療中に装置が頬や口の内側に当たり、傷や口内炎ができることがあります。その際は、装置にワックスを貼り付けてご使用ください。
- Risk-02
-
- Risk-03
矯正治療中の外観
表側矯正(ラビアル): 歯の表面に器具を装着するため、会話や食事中にワイヤーなどの装置が見えることがあります。
舌側矯正(リンガル): 目立たない装置ですが、装置の違和感、発音のしづらさ、食事の際の不便さ、歯磨きの難しさなどがデメリットです。また、費用が高くなる傾向があります。
- Risk-03
-
- Risk-04
顎間ゴム
治療中、歯を適切な位置に導くために、ワイヤーや装置にご自身でゴムをかけていただくことがあります。
- Risk-04
-
- Risk-05
歯肉退縮
歯科矯正中に歯茎が下がり、歯の根が露出することがあります。特に30代以上の方では、歯肉退縮を完全に防ぐことは難しいです。また、歯肉退縮により歯と歯の間に三角形の隙間(ブラックトライアングル)ができることがありますが、これは加齢に伴う自然な現象でもあります。さらに、歯の形や歯の並びが整うことで、歯茎が引き締まって隙間ができることもあります。
- Risk-05
-
- Risk-06
歯根吸収と歯髄壊死(失活)
矯正治療中に歯根が短くなったり、歯の神経が失活することがあります。当院では、歯根吸収や歯髄壊死を防ぐため、弱い力で歯を移動させていますが、まれに噛み合わせの影響で発生することがあります。事前の検査で、歯の状態を把握し、慎重に治療計画を立てています。
- Risk-06
-
- Risk-07
マウスピース型矯正のリスク
マウスピース型矯正は、日中や就寝時にも装着が必要です。特に就寝時に食いしばりや歯ぎしりがあると、マウスピースが破損することがあります。また、指示通りに装着しないと、治療効果が得られません。食事や歯磨きの際を除き、マウスピースは常に装着していただく必要があります。
- Risk-07
-
- Risk-08
アレルギー
ワイヤー矯正装置を装着後にアレルギー症状が現れることがあります。その場合は、すぐに歯科医師にご相談ください。金属アレルギーが心配な方には、アレルギー反応が少ないゴムメタルワイヤーをお勧めしています。
- Risk-08
-
- Risk-09
むし歯や歯周病
矯正治療中は歯磨きが難しくなり、虫歯や歯肉炎のリスクが高まります。特にワイヤー矯正では、ブラケット周辺の歯磨きが難しいため、十分なブラッシングが必要です。ブラッシングに加えて、ウォーターピックやフロスの使用をお勧めします。
- Risk-09
-
- Risk-10
不定愁訴
稀に、矯正治療中に痛みが引き起こす頭痛、倦怠感、吐き気などの不定愁訴が生じることがあります。
- Risk-10
-
- Risk-11
顎関節症
まれに、矯正治療中に開口障害、頭痛、耳鳴り、筋肉の硬直などの顎関節症の症状が現れることがあります。多くの場合、症状は経過観察を行うことで自然に改善しますが、強い症状が出た場合は装置を一時的に撤去し、症状が改善するのを待つこともあります。
- Risk-11
-
- Risk-12
治療終了後
矯正治療後、歯が元の位置に戻ろうとすることがあります。そのため、治療終了後は取り外し可能なリテーナーを装着し、歯の後戻りを防ぐ必要があります。
- Risk-12
Prognathism
口ゴボについて

口ゴボ(くちごぼ)とは、口元が前に突き出して見える状態のことを指します。
一般的に、横から見たときに、唇が鼻先と顎を結ぶ線の内側にある状態が美しいラインとされています。しかし、唇がその線より前に突き出ていると、「口ゴボ(くちごぼ)」と呼ばれ、歯並びに問題はなくても、口元の突出感を改善したいという理由で矯正治療を受ける患者様が増えています。

なぜ、口ゴボになるのか?
一般的に、横から見たときに、唇が鼻先と顎を結ぶ線の内側にある状態が美しいラインとされています。しかし、唇がその線より前に突き出ていると、「口ゴボ(くちごぼ)」と呼ばれ、歯並びに問題はなくても、口元の突出感を改善したいという理由で矯正治療を受ける患者様が増えています。
歯の出っ張りの原因
-
先天的な要因
遺伝的な影響で、骨格が小さかったり、顎が小さかったり、歯が大きかったりすることが原因です。
-
後天的な要因(習慣)
- おしゃぶりや指しゃぶりを長期間していた
- 口呼吸をしている
- 唇を噛む癖がある
- 拡大矯正や非抜歯矯正を受けたことがある
-
口ゴボの兆候
- 口が閉じにくい、または意識しないと口が閉じられない
- 口を閉じたときに下顎に梅干しのようなシワができる
- 口を閉じたときに鼻の下が長く見える
- 口元が盛り上がっている
口ゴボの改善方法
基本的に、歯が原因で口ゴボが起きている場合は、歯列矯正によって改善が見込めます。口元が前に出ている場合、多くのケースでは抜歯矯正が必要となりますスペースを作って歯を並べたり、歯の角度を内側に調整したり、歯を臼歯方向に動かすことで、口元を引っ込めることが可能です。
Children's Orthodontic
子どもの矯正

子どもの歯並び治療についての
正しい理解
お子様の歯の健康は、心の成長とも密接に関係していますので、
以下のポイントを理解していただければと思います。

-
-
Point-01

歯並びが悪いのは「病気」ではない
歯並びが悪いことは病気ではなく、成長の一部であることをご理解ください。
個々の遺伝や成長段階に応じて変化するため、歯の生え方や並び方はその子の成長過程において自然な現象です。
-
Point-01
-
-
Point-02

早期治療についての誤解
「早期治療が必要」との誤解が広がっていますが、実際には多くの場合、永久歯が生え揃ってからの治療が望ましいことがほとんどです。乳歯から永久歯に生え変わる際に不安定な歯並びが見られることがあります。この時期に無理に矯正を始めることは、自然な成長を妨げる可能性があるため注意が必要です。
-
Point-02
-
-
Point-03

自然な成長を大切に
定期的な歯科検診を受けることで、必要に応じた適切なタイミングでの治療選択が可能です。乳歯から永久歯に生え変わる時期は多くの変化を伴い、この時期を「アグリーダッキングステージ(醜いアヒルの子の時期)」と呼びます。歯の生え変わりが続き、乳歯の小さなスペースに大きな永久歯が生えてくるため、歯並びの不安定さを感じやすい時期です。
-
Point-03
-
-
Point-04

矯正治療のタイミングと心のケア
-
歯の生え変わりが続き不安定な状態で矯正治療を始めることが、お子様の歯にとって本当に良いのか、時間やお金をかける価値があるのか、一緒に考えていきましょう。私たちのクリニックでは、早期治療が必要なケースを除き、永久歯が生え揃った後に治療を開始することが最も良い結果を得られると考えています。
また、お子様が自分の歯並びにコンプレックスを抱いていないかどうかも重要な要素です。
自身の歯並びに違和感を抱かない場合、歯磨きに対する協力が得られなかったり、痛みや不快感から治療に対して消極的になることがあります。さらには、早期に矯正治療を行うことで、お子様のまだ成長段階にある歯や顎の発育に悪影響を与えるリスクも視野に入れる必要があります。
自然に歯並びが整うこともあるため、焦らずお子様の成長を見守ることも一つの選択肢です。親としてお子様の健康を守るために最善の方法を見つけるためのサポートを行っております。
不安や疑問があれば、ぜひお気軽にご相談ください。あなたのお子様の歯の健康と心のケアを大切にしていきます。
-
Point-04