症例紹介|沖縄県浦添市の矯正歯科
Cases
症例紹介
-
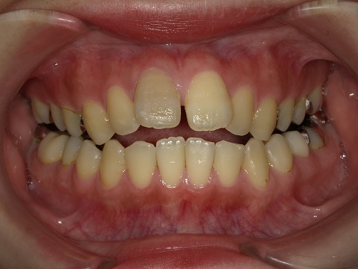
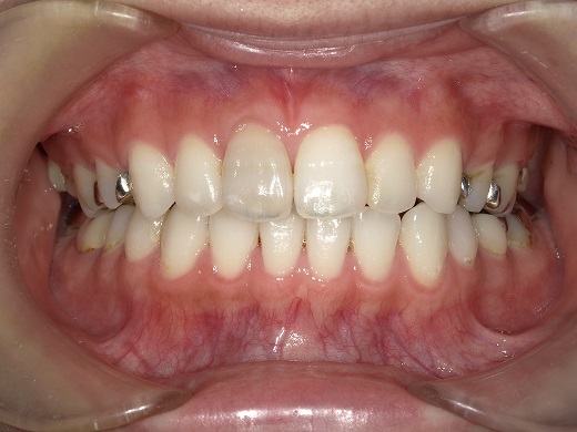
裏側矯正 30代 女性
上側裏側矯正
Before
After
治療費825,000円(税込)
-
裏側矯正 30代 女性
上側裏側矯正
Before
After
治療費825,000円(税込)
-
裏側矯正 30代 女性
上下裏側矯正
Before
After
治療費935,000円(税込)
-
裏側矯正 30代 女性
上側裏側矯正
Before
After
治療費825,000円(税込)
-
裏側矯正 20代 女性
上側裏側矯正
Before
After
治療費825,000円(税込)
-
裏側矯正 20代 女性
上下裏側矯正
Before
After
治療費935,000円(税込)
-
お試し矯正 10代 女性
お試し矯正
Before
After
治療費110,000円(税込)
-
裏側矯正 20代 女性
上下裏側矯正(不正咬合)
Before
After
治療費935,000円(税込)
-
表側矯正 20代 女性
上下表側矯正(不正咬合)
Before
After
治療費605,000円(税込)
-
表側矯正 20代 男性
上下表側矯正(開咬症)
Before
After
治療費605,000円(税込)
-
表側矯正 20代 男性
上下表側矯正(上顎前突)
Before
After
治療費605,000円(税込)
-
裏側矯正 20代 女性
上側裏側矯正(深悪咬合)
Before
After
治療費825,000円(税込)
-
裏側矯正 10代 女性
上側裏側矯正(不正咬合)
Before
After
治療費825,000円(税込)
-
裏側矯正 20代 女性
上側裏側矯正(不正咬合)
Before
After
治療費825,000円(税込)
-
表側矯正 30代 女性
上下表側矯正(反対咬合)
Before
After
治療費605,000円(税込)
-
裏側矯正 30代 女性
上側裏側矯正(不正咬合)
Before
After
治療費825,000円(税込)