矯正治療の流れ
Flow
矯正治療の流れ
当クリニックでは、患者様一人ひとりに最適な矯正治療を提供するため、以下のような流れで治療を進めていきます。
簡単に説明しますので、治療の進行がイメージしやすくなると思います。
![]()
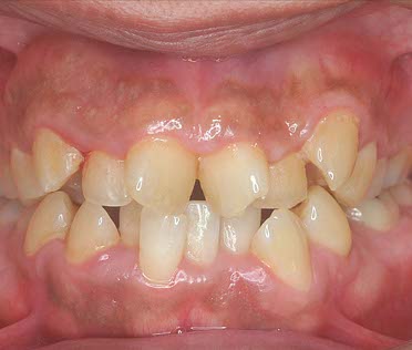
初診相談
約15分から30分ほど
初診相談は無料で行っております。
患者様が抱えるお悩みや、歯科矯正治療に関する疑問点など、まずはお気軽にご相談ください。
患者様に合った治療方法を丁寧にご提案させていただきます。
![]()
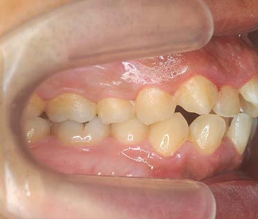
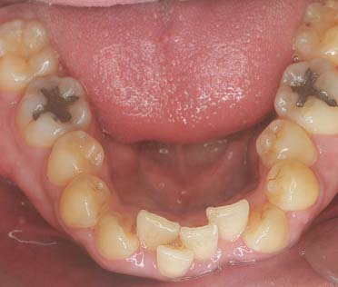
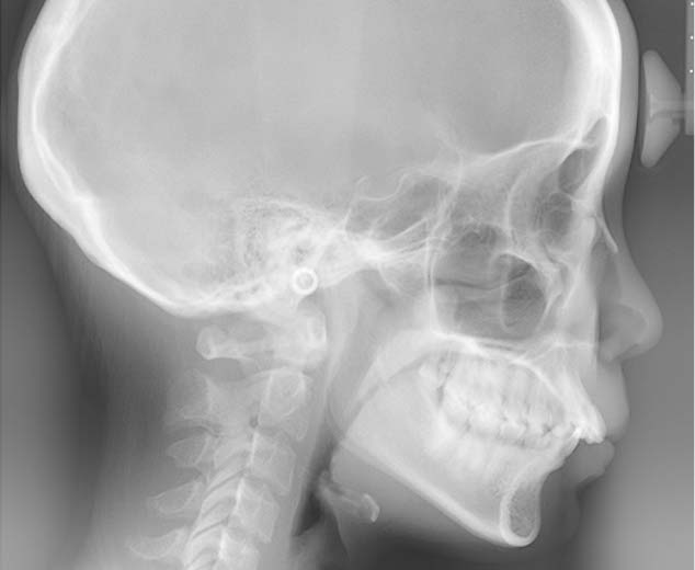
初診検査
約45分から1時間ほど
初診相談後、治療をご希望される場合は、初診検査を実施します。この検査で、患者様の現在の口腔内の状態を確認します。
顔貌・口腔内写真の撮影





レントゲン撮影



歯型の模型採取


初診検査の結果は、約2~3週間後にお伝えします。その際、診断と治療方針を決定します。
![]()
診断・治療方針の決定
約15分から30分ほど
初診相談時のヒアリングと初診検査の結果をもとに、診断を行い、治療方針を決定します。
ここでは、以下の項目を確認・説明させていただきます。
- 治療方法
- 治療期間
- 治療費用
- 支払方法
患者様にご納得いただいたうえで、後日治療契約書に署名・捺印をいただき、その後に治療を開始いたします。
![]()
矯正治療開始
治療が開始されると、矯正装置を装着し、治療が進んでいきます。
治療方法やお口の状態によって治療内容は異なりますが、通常は以下のような流れになります。
矯正装置装着
約30分から60分ほど
矯正装置を装着した後は、1ヶ月に1~2度の通院が必要です。通院時には、ワイヤーの調整やその他必要な診察を行います。場合によっては、治療途中で再検査を行うこともあります。
診療・処置・検査
約15分から45分ほど
治療途中で抜歯やむし歯の治療が必要な場合もありますが、当クリニックでは抜歯やむし歯治療は行っておりません。
必要な場合は、かかりつけの一般歯科医や、提携している一般歯科医院で行っていただきます。
治療期間の注意点
治療期間は予想通りに進めるよう最善の努力をしていますが、通院をおろそかにすると、治療期間が延び、最悪の場合追加費用が発生することもあります。通院スケジュールを守っていただくよう、患者様のご協力をお願いいたします。
![]()
保定期間
矯正治療で歯並びが整った後は、その結果を維持するために保定期間が必要です。
治療後の歯は、最初は不安定なため、安定させるための時間が必要です。
治療が完了したら、リテーナーという保定装置をお渡しします。これにより、きれいに並んだ歯を固定し、安定させます。
お渡しするリテーナー
上顎:取外し可能なマウスピース型リテーナー
下顎:固定されたワイヤー型リテーナー



保定期間中も定期的に通院していただき、経過を観察します。保定装置を怠ると、せっかく整えた歯並びが戻ったり、
悪化したりする可能性があるため、リテーナーの使用をしっかり守っていただくようお願いします。
![]()
治療完了
お疲れ様でした。これで治療は完了です。
治療後も、当クリニックや一般歯科でのホワイトニングや定期健診を受け、綺麗に並んだ歯を大切にしてください。
以上が、当クリニックでの歯科矯正治療の一連の流れです。治療内容や進行に関してご不明な点がありましたら、いつでもご相談ください。